








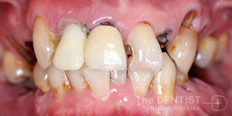
初診時、重度の虫歯と歯周病により、咬合機能の低下がみられました。
治療では歯周治療を基礎に、精密根管治療、抜歯、インプラント、マウスピース矯正(下顎)、審美補綴、ホワイトニングを段階的に行い、機能回復と審美改善を図りました。
治療期間は約2年。
咬合を再構築することで、噛む機能と自然な審美性の両立を目指した症例です。
※詳しくはお問い合わせください。
食いしばり、歯軋り、咬み合わせが強い方は、被せ物が割れる可能性があります。
口腔の状態に合わせた定期的なメンテナンスを行わなかった場合は被せ物が割れる可能性があります。
歯の神経治療を行なっている歯は、通常の歯より粘性等が低下している場合があります。
また当院で提携しているクリニックでの精密根管治療(顕微鏡を使用した治療)を行なっていない場合は、根の先(根尖)に病巣ができ易い場合があります。
※上記金額は税込みです。
※上記症例の治療は全て保険適応外です。
当院では、保険適用外の治療のみを行っています。 あらかじめご承知おきください。
※初診の際は、ご予約の時間より少し早めにご来院ください。
院内感染防止について細心の注意をはらっております。
安心して治療を受けていただくために治療機器の滅菌処理はもちろんのこと、院内全体に除菌水(EPIOS ECO SYSTEM)を導入しています。